联影+耶鲁大学:一场关于脑科学的Campus Walk

耶鲁大学校园风貌

 

光明与真知(Lux et veritas),是世界名校耶鲁大学的校训。在这里,科学家、艺术家、学者们领跑前沿科研,追寻真理之光。葡萄叶环绕书剑是耶鲁大学的标志,象征人文艺术与真理的结合。


2018年,美国国立卫生研究院启动美国脑计划重大项目2.0(NIH Brain Initiative 2.0)项目;耶鲁 PET 中心以对大量放射性药物的先驱研究和对脑成像的专注而闻名,是该项目的重要参与方。


大脑之深邃,如同宇宙;而进行一场浩瀚的“脑际迷航”,当然需要定制化的观测站。2020年,耶鲁大学协同加州大学戴维斯分校,与联影医疗启动了全球首款数字化脑专用PET-CT NeuroExplorer (NX)的共同研发;2023年6月,这台特别打造的“观测站”横空出世,入驻了耶鲁大学医学院PET中心。


我们有幸到访耶鲁大学,探访这台刚刚诞生的脑部PET-CT,与世界级脑科学大咖Richard Carson对谈,听他讲述脑科学的前世今生,感知人类认识大脑之漫漫长路的崎岖,以及在保护大脑的征途中的不懈努力。当看到在新的观测工具下,大脑中微小细胞核的信号以惊人的精度呈现在眼前时,一种莫名的感动涌起——我们赞美大脑,因为有了它,才有了如今璀璨的人类文明。


我们记录下了这次在耶鲁大学的Campus walk,分享一场科学求真的世界中,别开生面的“脑际迷航”。

耶鲁大学校园风貌

 

洞悉“大脑迷宫”: 见证全新分子影像下的脑海奇观

Richard Carson教授展示脑部影像

 

推开耶鲁大学PET中心大门,一场脑际航行即刻启程。本次航行由合作项目负责人——耶鲁大学PET中心名誉主任Richard Carson教授掌舵。Carson教授多年来致力于使用PET技术解密大脑,在他办公室的黑板上,布满复杂的公式和草图,犹如探索之路上的星图,指引航向。Carson教授轻步走向黑板,解释其中的奥秘,将科学之美娓娓道来,直抵人心。


回忆起与脑科学研究的初次际遇,Carson教授的眼中闪光:”在研究早期,即使只看到正在工作中的大脑,就足以让人兴奋。”


而如今,只看到工作中的大脑已远远不够:脑科学研究者需要窥见大脑更小区域的功能动态,测量血流、代谢和突触活动,揭示这之间细微精巧的相互作用。


以阿尔茨海默病为例,该疾病的源头并不在海马体中,而是在一个更中间区域,叫蓝斑核——其位于脑干神经核团中一个非常微小的区域。如果在早期探测中,能扫描到这样的区域并精准成像,还原区域的动态变化,就能更好地追踪病变,并向更深处探索。


“数千年来,人类在认知自我的旅程中,已走过漫长的道路。心脏,曾是神秘的‘未竟之地’,如今我们对它的理解也渐渐深入。这并不意味着它不再复杂,是我们通过不懈的努力,循序渐进地理解了身体与疾病的关系。然而对于深不可测的大脑,我们对它的探索尚及表层。人类能否在未来,揭开它所有的秘密?我的有生之年也许看不到这一天,但我相信终有一日会实现。”Carson教授如是说:“这正是科学的乐趣所在,一次又一次攻克难题,尝试着去揭开它们的面纱。”

寻踪“超级城市”: 破译脑疾病的关键密钥

脑神经意象图

 

在人类大脑这广阔而错综的网络中,无数的突触和路径交织成一幅超级城市图景。Carson教授的研究,不断地深化我们对这些精妙连接的理解,就如同探索一座庞大而繁华的都市,揭开其隐藏在熙攘街道下的深层奥秘。


Carson教授进一步对大脑内部进行了诠释:"就连接数量而言,没有一个超级城市,能与大脑建立的连接数量相比拟。”这里所说的连结,即神经之间的微妙交织,以无形的线条绘制人类的思维、情感,静默地塑造着我们的每一日,影响着我们的健康。


如果有能力在早期探测,扫描关键区域、学习得知它们是如何相互作用、相互交流。研究者将能够掌握更多细节,更好地追踪病变,并向更深处探索。”耶鲁拥有约60种示踪剂药物,借助NX的高分辨率与灵敏度,可以定量地分析药物在脑内的动态代谢,以此将它与药物疗效联系起来。


Carson教授总结道:“我们先看见大脑,再理解大脑,而后有了保护它的希望。”

揭秘“新锐武器”:“它是我父亲节收获的宝贝!”

Richard Carson教授与NeuroExplorer (NX)

 

NX正式进驻耶鲁的时间正是2023年的父亲节,Carson教授亲切地称这台下一代高分辨率脑PET系统为“宝贝”,并称这是最好的父亲节礼物。在展示这份”礼物“之前,Carson教授拿出由第一代PET得到的脑部影像。彼时,每一张图像要花至少10分钟才能获取,且由于图像的质量和分辨率极低,几乎很难识别出那是一张脑部图像。 人类对脑部的探索从未停步,对看到其细微末节的需求亦不止。

NeuroExplorer (NX)产出的脑部影像图

 

超高灵敏度 重置探索边界

NeuroExplorer拥有基于NEMA NU 2-2018标准的超高灵敏度:46cps/kBq,同时配备着先进的时间飞行技术,进一步增强了NX的综合性能。

卓越空间分辨率 洞察大脑微观

小型探测器元件确保最精微的结构能被检测,甚至探查特定脑核中的神经递质运动。搭载1.5mm的有效空间分辨率,带来前所未见的解剖细节。

NeuroExplorer (NX)产出的脑部影像图与其他设备产出的脑部影像图对比

 

运动伪影校正 成像精度新巅峰

一直以来,运动伪影困扰着核医学界,扫描过程中患者任何轻微移动都会对最终的图像清晰度产生影响。NX革命性地开发实时无标注头部运动追踪,解决了头部运动造成的成像伪影问题,确保成像卓越精度。

运动伪影校正前后影像对比

 

超长轴向视野 大脑探索无极限

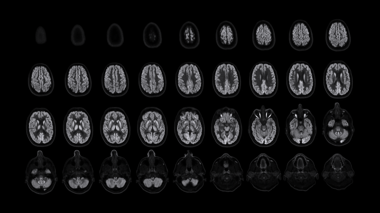
搭载长达50cm的轴向视野,可捕捉到从头顶到肩部区域的完整图像,确保其能够监测该区域的血管和示踪剂输送到大脑的动态情况,这一卓越性能助力NX成为脑科学领域研究强有力的工具。

NeuroExplorer (NX) 产出到从头顶到肩部区域的完整图像

 

“从我们目前获取的图像来看,使用NeuroExplorer扫出的图像是世界上最好的,因此我们能够真正做到更好地缩小范围,聚焦更小的信号,观察大脑更为微末的区域,这为我们打开了新的窗口,去‘见所未见’。”Carson教授对NX的诞生和即将围绕其展开的一系列研究满怀期待,“有了NeuroExplorer这样强大的设备,我们步履不停,也正将迎来一个重要的突破,那就是和制药行业的合作。”

未来脑图:共绘AI与脑科学的新篇章

宇宙与未来脑图的结合意象图

 

此行,聆听了世界级大师的盛情分享,我们对科学无尽前沿愈加心驰神往。回顾过去一年,ChatGPT AI生成式大模型以令人震撼的新方式涌现,重新定义了人类与世界互动和工作的方式。这一研究立足于人类既有的广博知识,已经展示出了颠覆传统行业、改写未来轨迹的巨大潜力。对此,Carson教授也分享了他充满哲思的见解:“人类智慧创造了AI,如今人类也能够在AI的启迪下学习和进化,期待有一天能够研究人类复杂的脑神经信息直接交互,开发智慧的无上潜能。这预示着一个既令人兴奋又可能令人畏惧的新时代。”


离开耶鲁校园,心绪久久不能平复,为有幸见证科技创新日新月异的伟大时代感慨万千。